计算溶液所需的质量、体积或浓度。
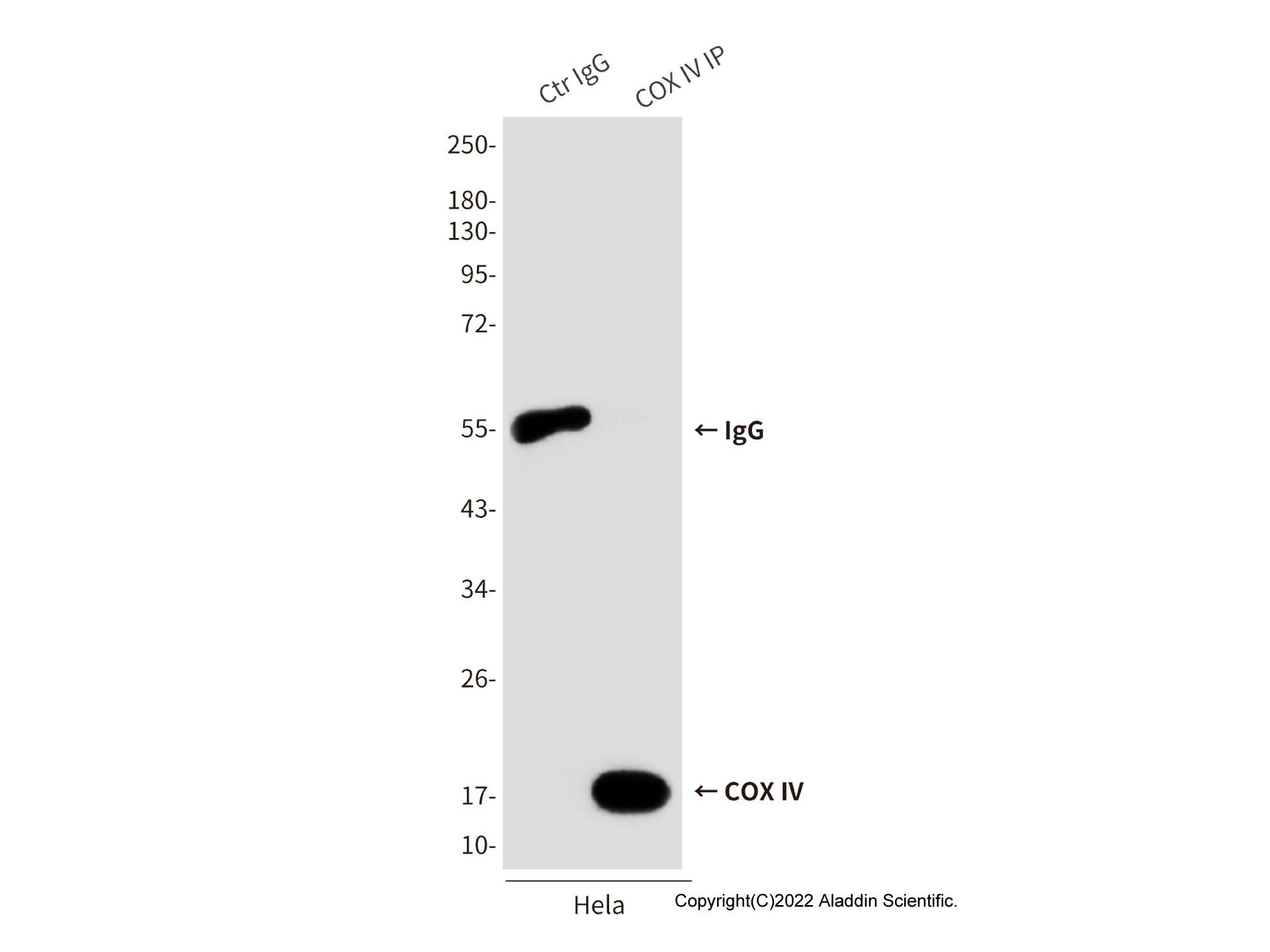
COX IV Mouse mAb (Ab097414) - Western Blot
All lanes: COX IV Mouse mAb (Ab097414) at 1/1000 dilution
Samples: Lysates at 20 µg per lane
Secondary: Goat Anti-Mouse IgG H&L (HRP) (Ab138040) at 1/10000 dilution
Predicted band size: 17 kDa
Observed band size: 17 kDa
Exposure time: 5.0 s
首页
400-620-6333

























